Str. Nicolae Balcescu Nr. 4, Orastie | (+40) 787.746.823 | office@omniadent.ro

RADIOLOGIE DENTARA

          Laboratorul nostru de imagistica dentara este dotat cu echipamente performante care genereaza imagini radiologice de inalta rezolutie cu o expunere minimala la radiatii.

Beneficiile pentru pacienți și medici:

  • Diagnostic precis și rapid: identifică probleme dentare și maxilare complexe, cum ar fi infecțiile, chisturile, anomaliile osoase sau tumorile.
  • Planificare exactă a implanturilor dentare: oferă medicului toate informațiile necesare pentru implanturi.
  • Ușor de utilizat: interfață simplă, intuitivă și personalizabilă în funcție de nevoile specifice ale clinicii.

 

RADIOGRAFIA PANORAMICA – este o investigație stomatologică care produce o imagine unică, de ansamblu, a întregii cavități orale, inclusiv a tuturor dinților, a maxilarului și a mandibulei, a articulațiilor temporo-mandibulare și a sinusurilor maxilare, fiind esențială pentru diagnosticare și planificarea tratamentelor.

 

PRET: 100 Lei

 

 

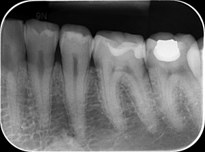
RADIOGRAFIA RETROALVEOLARA – cunoscută și sub numele de radiografie periapicală, este o radiografie dentară intraorală ce oferă o imagine detaliată a unui singur dinte sau a unui grup mic de dinți (maxim trei) și a țesuturilor din jurul lor, inclusiv a rădăcinilor, osului și gingiilor. Aceasta este utilizată pentru a detecta carii, leziuni periapicale (zone de infecție la vârful rădăcinii), abcese, tratamente de canal incorecte și probleme ale osului sau gingiilor.

 

 

PRET: 40 Lei

 

 

RADIOGRAFIA CBCT 3D – este o metodă de imagistică dentară și maxilo-facială care generează o imagine tridimensională a dinților, maxilarelor, sinusurilor și structurilor nervoase din zona scanată. Această tehnică utilizează un fascicul conic de raze X, o singură rotație în jurul capului pacientului și procesare computerizată pentru a crea o imagine detaliată, superioară imaginilor 2D tradiționale, esențială pentru un diagnostic precis și planificarea tratamentului. Acest tip de investigatie ofera cel mai inalt nivel al detaliilor dintre toate tipurile de radiografii.

                                                                                                                                                        PRET:  250 Lei / arcada

                                                                                                  400 Lei ambele arcade

                                                                                                                                                                                                                                          250 Lei sinusuri

 

 

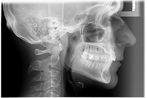
TELERADIOGRAFIE DE PROFIL – este un tip de radiografie craniană, realizată de la distanță, care oferă o imagine panoramică a feței, maxilarului, dinților și craniului dintr-o singură perspectivă laterală sau frontala. Această imagine permite evaluarea relațiilor dintre structurile osoase și dentare, a creșterii faciale și a fizionomiei, fiind un instrument esențial în ortodonție și alte tratamente dentare.

 

PRET: 150 Lei

 

RADIOGRAFIE BITEWING –  este un tip de radiografie dentară intraorală care arată coroanele dinților din ambele arcade, permițând medicului dentist să depisteze cariile interdentare incipiente si sa intervina la timp astfel fiind cel mai bun instrument in preventia cariei dentare.

 

PRET: 40 Lei

Toate acestea se regăsesc și în biletul de trimitere de la Medicul Stomatolog.

 

INTREBARI FRECVENTE:

 

  • Ce este o radiografie dentară?

Radiografia dentară este o imagine realizată cu ajutorul razelor X, care permite medicului dentist să observe structurile interne ale dinților, oaselor maxilare și țesuturilor înconjurătoare.

 

  • Este necesară o programare în prealabil pentru radiografie?

Pentru radiografiile dentare nu este necesara programarea

 

  • Este dureroasă radiografia dentară?

Nu. Radiografia dentară este o procedură complet nedureroasă.

 

  • Este sigură expunerea la radiațiile din timpul unei radiografii dentare?

Da. Doza de radiații este foarte mică, mai ales la radiografiile digitale moderne. Este considerată sigură, inclusiv pentru copii, cu excepții în cazuri speciale (de exemplu, gravide).

 

  •  Cât durează o radiografie dentară?

În general, procedura durează între 1 și 5 minute, în funcție de tipul radiografiei.

 

  • Trebuie să mă pregătesc înainte de radiografie?

Nu este necesară o pregătire specială. Trebuie doar să îndepărtezi bijuteriile sau obiectele metalice din zona capului/gâtului.

 

  • Pot face radiografie dacă sunt însărcinată?

De regulă, se evită radiografiile în timpul sarcinii, mai ales în primul trimestru. Dacă este absolut necesară, se folosesc protecții speciale (șorț de plumb).

 

  • De ce îmi cere dentistul o radiografie dacă nu mă doare nimic?

Pentru că multe probleme dentare (carii, infecții, chisturi, pierderi osoase) nu dor în fazele incipiente și pot fi depistate doar radiologic.

 

  • De cate ori pe an se poate face in siguranta radiografia dentara?

Frecventa sigura a radiografiilor dentare depinde de starea de sanatate orala a fiecarui individ. In general, pentru adulti sanatosi, o radiografie dentara anuala este suficienta pentru monitorizarea continua. Cu toate acestea, in cazuri specifice, cum ar fi tratamentele ortodontice sau monitorizarea unei probleme dentare, medicul poate recomanda radiografii mult mai frecvente.

Nu exista nici din punct de vedere etic si nici legal un numar anual, atata timp cat se respecta principiul ALARA (As Low as Reasonably Achievable), atata timp cat avantajele intrec dezavantajele. Medicul este singurul care stabileste cate radiogorafii are nevoie un pacient si reamintim ca dozele de radiatii sunt foarte scazute

 

  • Când primesc rezultatul radiografiei?

Radiografiile digitale sunt disponibile imediat

Se pot transmite direct medicului dentist sau pe e-mail/paper format

 

  • Daca am pierdut filmul radiografiei, o pot primi din nou?

Da. In format digital se poate retrimite gratuit oricand, iar pentru formatul fizic va trebui achitata reprintarea.

 

  • Pot face radiografie dentara daca port aparat dentar?

Da, pacientii care poarta aparat dentar pot face radiografii dentare. Aparatul dentar poate interfera usor cu imaginea, dar radiografiile sunt posibile si pot oferi informatii valoroase despre sanatatea dentara.

 

  • Care sunt pasii pentru efectuarea unei radiografii dentare?

Pregatirea pacientului
Indepartarea bijuteriilor/obiectelor metalice pentru a nu interfera cu calitatea imaginii (in cazul radiografiilor extraorale)

 

Pozitionare
Asezarea pacientului si informarea acestuia cu privire la faptul ca trebuie sa ramana nemiscat pentru a maximiza claritatea imaginilor si informarea acestuia asupra mai multor instrucțiuni pe care acesta trebuie sa le respecte

 

Efectuarea radiografiei
In timpul efectuării radiografiei, operatorul radiolog va parasi incaperea.

 

Procesarea datelor
Imaginile capturate sunt transmise catre un computer, unde software-ul specializat le proceseaza pentru a construi o imagine 2D detaliată de mare fidelitate

 

Trimiterea datelor
Investigatiile radiologice sunt trimise automat din sistem pe e-mail, atat medicului stomatolog dar si a adreselor de e-mail oferite de pacient in momentul procedurii de inregistrare la receptie